Understanding the Multiple Faces of MoME
In the rapidly evolving landscape of artificial intelligence, the acronym "MoME" has emerged as a significant term with multiple distinct meanings. While context often clarifies intent, the overlapping nomenclature can create confusion among researchers, practitioners, and enthusiasts alike.
Primary MoME Concepts
Mixture of Matryoshka Experts
A novel AI framework developed by Meta AI and Imperial College London for efficient audio-visual speech recognition.
Meta AI ResearchMixture of Modality Experts
A medical AI model developed by HKUST for non-invasive breast cancer diagnosis using multiparametric MRI.
Medical AI
This comprehensive guide aims to clarify these different meanings, providing researchers and practitioners with a clear understanding of each concept, their applications, and the contexts in which they appear. By examining the technical foundations, development collaborations, and practical implementations, we can better navigate the complex landscape of modern AI research.
The Mixture of Matryoshka Experts (MoME) framework represents a sophisticated approach to enhancing the efficiency and performance of large-scale AI models, specifically in the domain of audio-visual speech recognition (AVSR). This development is a collaborative effort between Imperial College London and Meta AI, along with contributions from NatWest AI Research.
The framework's name, "Matryoshka," is inspired by Russian nesting dolls, aptly describing its ability to handle information at various levels of compression or granularity. This design philosophy enables a single, unified model to operate effectively across different scenarios, from high-fidelity processing to highly compressed processing prioritizing speed and efficiency.
style A fill:#e3f2fd,stroke:#1976d2,stroke-width:2px,color:#000
style C fill:#fff3e0,stroke:#f57c00,stroke-width:2px,color:#000
style I fill:#e8f5e8,stroke:#388e3c,stroke-width:2px,color:#000
style J fill:#fce4ec,stroke:#c2185b,stroke-width:2px,color:#000
style B fill:#f3e5f5,stroke:#7b1fa2,stroke-width:2px,color:#000
style D fill:#f3e5f5,stroke:#7b1fa2,stroke-width:2px,color:#000
style E fill:#ffebee,stroke:#d32f2f,stroke-width:2px,color:#000
style F fill:#ffebee,stroke:#d32f2f,stroke-width:2px,color:#000
style G fill:#ffebee,stroke:#d32f2f,stroke-width:2px,color:#000
style H fill:#ffebee,stroke:#d32f2f,stroke-width:2px,color:#000
The primary application of MoME is in audio-visual speech recognition (AVSR), a challenging multimodal task that involves transcribing spoken language by simultaneously analyzing both audio signals and visual lip movements.
This dual-modality approach is particularly valuable in noisy environments, where visual cues can significantly improve transcription accuracy and robustness—scenarios where purely audio-based systems often fail.
Sparse MoE architecture activates only a small subset of experts for each input, significantly reducing computational load. Achieves SOTA performance on LRS2 and LRS3 datasets for AVSR, ASR, and VSR tasks with fewer active parameters. Addresses computational inefficiency in large models through elastic inference and cross-scale knowledge transfer.
"MoME requires significantly fewer parameters during inference than competing baselines, making deployment feasible on a wider range of hardware, including devices with limited computational resources."
The development of MoME is a testament to collaborative research excellence, bringing together the academic prowess of Imperial College London and the industrial research capabilities of Meta AI, with contributions from NatWest AI Research.
The research paper, titled "MoME: Mixture of Matryoshka Experts for Audio-Visual Speech Recognition," has been submitted for presentation at NeurIPS 2025, underscoring its scientific significance.
iBUG team specializing in multimodal signal processing Industrial-scale AI research and development Practical applications in financial services
While MoME is a significant project within the Meta AI ecosystem, it is distinct from other major projects like the LLaMA series, though they may share some architectural principles such as Mixture-of-Experts.
MoME in Meta AI: Mixture of Matryoshka Experts
Core Framework and Purpose
Key Components
MoME Architecture Overview
Primary Application: Audio-Visual Speech Recognition
AVSR Challenges Addressed
Technical Advantages and Performance
Dynamic Capacity Allocation
State-of-the-Art Performance
Resource Efficiency
Development and Collaboration

Multi-Institutional Partnership
Key Institutions
Imperial College London
Meta AI
NatWest AI Research
Important Distinction
MoME vs LLaMA 4 Comparison
Feature
MoME (Meta AI)
LLaMA 4 (Meta AI)
Full Name
Mixture of Matryoshka Experts
Large Language Model Meta AI 4
Primary Goal
Efficient, adaptable model for AVSR
General-purpose foundational model
Key Innovation
Integration of MoE with MRL
MoE architecture for scalability
Core Application
Audio-Visual Speech Recognition
Wide range of NLP tasks
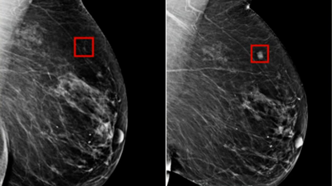
In a completely different domain, Mixture of Modality Experts (MOME) refers to a groundbreaking AI model developed by the Hong Kong University of Science and Technology (HKUST) for non-invasive breast cancer diagnosis.
This model leverages a mixture-of-experts framework and transformer architecture to effectively fuse information from multiple imaging modalities, specifically multiparametric MRI (mpMRI), achieving expert-level accuracy comparable to experienced radiologists.
This MOME model is entirely distinct and unrelated to the Mixture of Matryoshka Experts framework developed in collaboration with Meta AI. They are separate research initiatives with different goals, developers, and underlying technologies.
China's largest mpMRI breast cancer dataset for training and validation Transformer-based MoE framework for multimodal fusion Multi-institutional partnership including medical institutions
Beyond the two primary meanings of "MoME," the AI research landscape includes other related concepts and variations that leverage similar naming conventions or share underlying principles. Understanding these related ideas provides a comprehensive view of the field.
A framework designed to enhance generalist Multimodal Large Language Models (MLLMs) by addressing task interference through specialized expert systems.
An ambitious research direction exploring extreme scaling of MoE architectures to achieve finer-grained specialization.
A training framework enabling elastic inference in MoE models through systematic variation of activated experts during training.
The Broader "MoME" Landscape
Mixture of Modality Experts (MOME)

Medical AI Innovation
Key Applications
Critical Distinction
Technical Implementation
Data Scale
Architecture
Collaboration
Other Variants and Related Concepts
Summary of MoME and Related Concepts
Concept Name
Developer / Research Group
Primary Focus / Application
Key Innovation / Feature
Mixture of Matryoshka Experts (MoME)
Meta AI & Imperial College London
Audio-Visual Speech Recognition (AVSR)
Integration of MoE with MRL for dynamic, multi-scale processing
Mixture of Modality Experts (MOME)
Hong Kong University of Science and Technology (HKUST)
Non-invasive breast cancer diagnosis
Fusing information from multiple medical imaging modalities (mpMRI)
Mixture of Multimodal Experts (MoME)
General research concept
Enhancing generalist Multimodal Large Language Models (MLLMs)
Combining MoVE and MoLE to mitigate task interference
Mixture of a Million Experts (MoME)
General research concept
Exploring extreme scaling of MoE architectures
Investigating massive numbers of highly specialized experts
Matryoshka Mixture-of-Experts (M-MoE)
General research concept
Enabling elastic inference in MoE models
Coarse-to-fine expert ranking for dynamic adjustment
Mixture of Multimodal Experts
Mixture of a Million Experts
Matryoshka Mixture-of-Experts
The Mixture of Experts (MoE) is a foundational architectural concept in deep learning that has gained significant traction in recent years, particularly in the development of large-scale AI models. The core idea is to create models with very large capacity but with computational costs that don't scale linearly with the number of parameters.
The cornerstone of MoE is its sparse model design, which departs from traditional dense architectures where all parameters are active for every computation. Instead, MoE uses multiple smaller, independent neural networks called "experts."
For any given input, only a small subset of experts is selected to participate in the computation, while the rest remain inactive. This selective activation decouples the model's capacity from its computational cost.
The gating network acts as the "brain" of the MoE model, making intelligent decisions about which experts to activate for each input. This dynamic routing mechanism gives MoE its adaptability and efficiency.
style A fill:#e3f2fd,stroke:#1976d2,stroke-width:2px,color:#000
style B fill:#fff3e0,stroke:#f57c00,stroke-width:2px,color:#000
style C fill:#f3e5f5,stroke:#7b1fa2,stroke-width:2px,color:#000
style H fill:#e8f5e8,stroke:#388e3c,stroke-width:2px,color:#000
style I fill:#fce4ec,stroke:#c2185b,stroke-width:2px,color:#000
style D fill:#ffebee,stroke:#d32f2f,stroke-width:2px,color:#000
style E fill:#ffebee,stroke:#d32f2f,stroke-width:2px,color:#000
style F fill:#ffebee,stroke:#d32f2f,stroke-width:2px,color:#000
style G fill:#ffebee,stroke:#d32f2f,stroke-width:2px,color:#000
The Mixture of Experts architecture has become integral to Meta AI's strategy for developing large-scale, efficient, and powerful AI models. This adoption allows Meta to build high-capacity models while keeping computational and energy costs manageable—a crucial consideration for deployment across Meta's vast product ecosystem.
"The use of MoE is a key enabler of Meta's vision, providing a practical path to scaling up AI capabilities across billions of users."
The LLaMA 4 model series prominently features the Mixture of Experts architecture as a key design element. This strategic move creates models that are both highly capable and computationally efficient.
Note: This design allows these models to have a very large total number of parameters while maintaining a much lower active parameter count during inference, making them more practical to deploy and use.
The Foundational Architecture: Mixture of Experts (MoE)
Core Principles of MoE
Sparse Model Architecture
Key Benefits
Gating Network and Expert Routing
MoE Architecture
Routing Process
MoE in Meta AI's Ecosystem
Strategic Advantages
Application Areas

Adoption in the LLaMA 4 Model Series
LLaMA 4 Scout
LLaMA 4 Maverick
Comparative Analysis
MoME Concepts Comparison Matrix
Concept
Developer
Primary Domain
Key Innovation
Status
Mixture of Matryoshka Experts
Meta AI & Imperial College
Audio-Visual Processing
MoE + MRL Integration
Research (NeurIPS 2025)
Mixture of Modality Experts
HKUST
Medical Imaging
Multiparametric MRI Fusion
Clinical Application
Mixture of Multimodal Experts
General Research
Multimodal LLMs
Task Interference Mitigation
Conceptual
Mixture of a Million Experts
General Research
Extreme Scaling
Massive Expert Specialization
Theoretical
Matryoshka Mixture-of-Experts
General Research
Elastic Inference
Dynamic Expert Activation
Active Research
Key Insights
Research Implications
The acronym "MoME" represents a fascinating case study in the evolution of artificial intelligence terminology, where multiple distinct concepts have converged under similar naming conventions while maintaining their unique identities and applications.
This comprehensive analysis reveals that while the "MoME" acronym may appear in different contexts, each implementation serves distinct purposes and addresses unique challenges within the AI landscape. The Meta AI-Imperial College collaboration focuses on efficient multimodal processing for speech recognition, while HKUST's work targets critical healthcare applications.
Understanding these distinctions is crucial for researchers, practitioners, and enthusiasts navigating the complex terminology of modern AI. As the field continues to evolve, clear communication and precise terminology will remain essential for advancing knowledge and avoiding confusion.
As AI research continues to advance, we can expect further innovations in expert-based architectures and multimodal processing. The success of current MoME implementations suggests promising directions for:
Enhanced multimodal fusion techniques More efficient expert routing mechanisms Expanded medical AI applicationsConclusion
Key Takeaways
Primary MoME Concepts
Broader Landscape
Future Directions